FBS, ESC tested, 100% US origin
Embryonic Stem Cell - qualified   Fetal Bovine Serum
Cat.# Volume Price Order
P761S 100 mL $   149.00
P761-1 500 mL $   599.00
P761-10 500 mL x 10 $ 5499.00
Also can buy from :

Product Description and features

High quality US origin FBS.

This FBS is tested and qualified for supporting undifferentiated morphology of embryonic stem cells (ESC).

This product is for research use only.

Qualified for supporting ESC

Embryonic Stem Cell qualified FBS

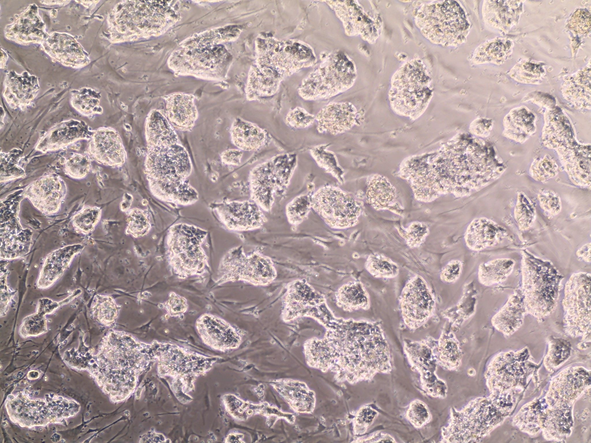
Click to see full size image.

Our FBS is qualified for supporting undifferentiated growth of mESCs. The image shows good morphology mESC clones that were cultured for 10 passages in a MEF feeder system supplemented with 10% 101Bio ESC tested FBS.

Unique Features

  • Manufactured in FDA / TRACES registered facilities
  • cGMP compliance
  • Triple 0.1µm sterile filtered
  • Virus Screened
  • Mycoplasma Tested
  • Endotoxin level: ≤ 10 EU/mL
  • Hemoglobin level: ≤ 25 mg/dL
  • Origin: United States of America

Product Control

All Lots are manufactured in FDA and TRACES (Trade Control and Expert System by USDA/APHIS) registered facilities following stringent Good Manufacturing Practices and quality control procedures.

Heat Inactivation

Available upon request

Ship / Store

Ship on dry ice. Storage Conditions: -10 to -30⁰C.

Shelf Life

5 years

Mouse Tail DNA Extraction only 20 minutes
3D Cell Culture Gel 30% < Mkt Price
PCR Kits 50% < Mkt price
Beta-Hexosaminidase Activity Colorimetric Assay Fast and sensitive, High-throughput
Endotoxin-Free Plasmid Kits maxi, midi and mini-prep